✨Révélez votre peau : offres de printemps & nouveaux tarifs laser à la séance✨

✨Révélez votre peau : offres de printemps & nouveaux tarifs laser à la séance✨

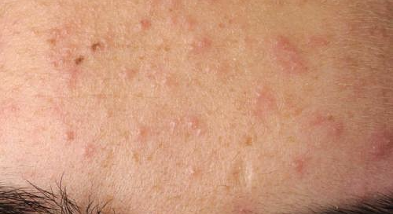
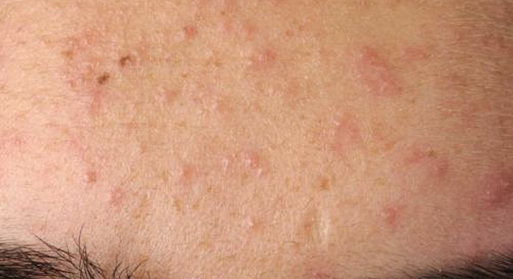
Causes des boutons sur le front

Acné

L'une des causes les plus courantes des boutons sur le front est l'acné. Celle-ci survient lorsque les pores se bouchent à cause d'un excès de sébum (huile), de saleté et de cellules mortes de la peau. Cette obstruction provoque des inflammations, entraînant la formation de boutons et de points noirs. Divers facteurs peuvent aggraver l'acné, notamment le stress, l'alimentation et l'utilisation de certains produits cosmétiques.

Irritation cutanée

Certains produits, tels que les cosmétiques capillaires (gel, laque) ou les crèmes pour le visage, peuvent irriter la peau et entraîner l'apparition de boutons. Cette irritation est souvent causée par des allergènes ou des substances irritantes qui endommagent la barrière cutanée et provoquent des inflammations.

Réactions allergiques

Les allergies à certains aliments ou produits cosmétiques peuvent également provoquer des boutons sur le front. Lorsqu'une réaction allergique se déclenche, le système immunitaire réagit en créant une inflammation qui peut se manifester sous forme de boutons. Les allergènes fréquents incluent certains conservateurs, parfums et colorants.

Changements hormonaux

Les variations hormonales jouent un rôle clé dans l'apparition des boutons sur le front. Que ce soit pendant la puberté, le cycle menstruel ou des périodes de déséquilibres hormonaux (comme la grossesse ou la ménopause), les glandes sébacées peuvent produire davantage de sébum, entraînant des pores obstrués et des poussées d'acné.

Folliculite à levures (champignons)

Les boutons dus à la levure, également connus sous le nom de folliculite à Malassezia, sont causés par une infection fongique de la levure Malassezia. Cette infection survient lorsque la levure envahit les follicules pileux, provoquant des boutons prurigineux ressemblant à de l'acné.

Les conditions chaudes et humides ainsi que l'utilisation de produits huileux pour la peau peuvent aggraver cette affection. Pour traiter ce type de folliculite, des crèmes ou shampoings antifongiques contenant du kétoconazole ou du sulfure de sélénium sont souvent recommandés. Dans les cas graves, un dermatologue peut prescrire des médicaments antifongiques oraux.

Autres causes

  • Milia : Petits boutons blancs causés par l'accumulation de kératine sous la surface de la peau.
  • Dermatite de contact : Réaction cutanée au contact avec des irritants ou des allergènes, entraînant des rougeurs, des gonflements et des boutons.
  • Stress : Le stress prolongé peut contribuer à l'apparition de problèmes cutanés, notamment des boutons et de l'acné.

Traitements des boutons sur le front

Soins contre l’acné du front

  • Nettoyage
    Lavez votre visage matin et soir avec un nettoyant doux pour éliminer l’excès de sébum et éviter l’obstruction des pores.
  • Traitements topiques
    Appliquez des soins à l’acide salicylique ou au peroxyde de benzoyle pour désincruster les pores et réduire l’inflammation. Les rétinoïdes accélèrent le renouvellement cellulaire en cas d’acné plus sévère.
  • Hydratation
    Utilisez une crème légère et non comédogène pour protéger la peau sans obstruer les pores. Privilégiez l’acide hyaluronique et la glycérine pour maintenir l’hydratation.
  • Traitements professionnels
    Les peelings chimiques et la thérapie au laser aident à traiter l’acné persistante et les cicatrices. Un spécialiste pourra vous conseiller sur la meilleure option.
  • Folliculite à levures
    Si l’acné est d’origine fongique, utilisez des soins antifongiques au kétoconazole ou au sulfure de sélénium. En cas de résistance, un dermatologue peut prescrire un traitement oral.

Gistpuistjes

Conseils de prévention

Nettoyage du visage

Le nettoyage régulier du visage est essentiel pour éliminer la saleté, l'excès de sébum et les impuretés accumulées au cours de la journée. Choisissez un nettoyant adapté à votre type de peau : un nettoyant hydratant pour les peaux sèches ou un nettoyant sans huile pour les peaux grasses.

Lavez votre visage deux fois par jour : le matin pour éliminer les huiles produites pendant la nuit, et le soir pour retirer la saleté et le maquillage accumulés. Après avoir transpiré, lavez immédiatement votre visage pour éviter que la sueur ne bouche vos pores.

Évitez de toucher votre visage

Toucher votre visage avec des mains sales peut transférer des bactéries et de la saleté, provoquant des problèmes cutanés tels que l'acné. Essayez de ne pas toucher votre visage au cours de la journée, surtout si vous ne vous êtes pas lavé les mains. Cela aide à minimiser la propagation des bactéries et à maintenir votre peau propre et saine.

Alimentation saine

Une alimentation équilibrée joue un rôle important dans la santé de la peau. Consommez des aliments riches en vitamines et en antioxydants, comme les fruits et légumes, pour favoriser une peau éclatante. Buvez aussi suffisamment d'eau pour garder votre peau hydratée. Évitez les aliments riches en sucre et les ingrédients transformés, car ils peuvent aggraver les problèmes de peau.

Réduction du stress

Le stress peut entraîner des déséquilibres hormonaux qui aggravent les problèmes de peau, comme l'acné. Il est donc crucial de trouver des moyens de gérer le stress. Des techniques de relaxation, comme le yoga, la méditation ou des exercices de respiration, peuvent vous aider à réduire le stress et à améliorer la santé de votre peau. Faire de l'exercice régulièrement et avoir un bon sommeil sont également essentiels pour réduire le stress et favoriser une peau saine.

Solutions et Soins Essentiels

Pour traiter les boutons sur le front, adoptez une routine de soins adaptée : nettoyez votre visage avec des produits doux pour éliminer l'excès de sébum, et utilisez des soins à l’acide salicylique ou au peroxyde de benzoyle pour cibler l’acné. Hydratez avec une crème légère non comédogène pour éviter d'obstruer les pores. En cas d’infection fongique, optez pour des crèmes antifongiques. Pour des résultats durables, pensez aux traitements professionnels comme les peelings ou le laser.

Besoin de conseils sur mesure ? Nos experts sont là pour vous aider à retrouver une peau nette.  

bilan gratuit épilation laser bordeaux

Premier rendez-vous GRATUIT sans engagement
Dites adieu aux problèmes de peau et bonjour à la meilleure version de vous-même!

En tant que nouveau client, nous sommes heureux de vous offrir une intake gratuite et sans engagement d'une valeur de 45 €. Notre spécialiste de peau analyse votre peau lors du rendez-vous et propose un conseil de traitement. Vous obtenez ainsi une idée du traitement le plus adapté à votre peau, du nombre de traitements nécessaires et des prix associés.

RDV DIRECT
RDV DIRECT